954 09 75 24    revista@hidden-nature.com

La fábrica de energía celular y su implicación en enfermedades raras

La fábrica de energía celular y su implicación en enfermedades raras

Normalmente cuando se habla de enfermedades genéticas se suelen asociar a enfermedades causadas por alteraciones en los cromosomas (ADN del núcleo de la célula). Sin embargo, en el citoplasma de las células existen unos orgánulos llamados mitocondrias que también poseen su propio ADN (fig. 1).

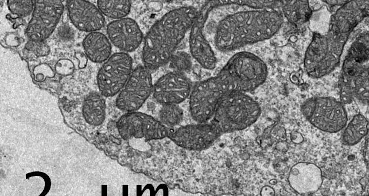
Imagen de mitocondrias realizada con microscopio electrónico de transmisión

Imagen de mitocondrias realizada con microscopio electrónico de transmisión

Al igual que el ADN nuclear, el ADN mitocondrial está formado por una doble cadena enrollada sobre sí misma, pero con la particularidad que en este caso forman una molécula circular. El ADN mitocondrial está formado por 16.569 pares de bases y 37 genes. Normalmente tenemos dos copias diferentes de ADN nuclear, una que se hereda del padre y otra que se hereda de la madre. En una mitocondria puede haber de 2 a 10 copias de ADN mitocondrial y normalmente sólo se heredan las de las madres. Sin embargo, desde el comienzo del siglo XXI, múltiples publicaciones científicas en prestigiosas revistas demuestran la existencia de herencia paternal en ADN mitocondrial humano. Esta doble herencia parental del ADN mitocondrial es un hecho habitual en la naturaleza y en otros organismos como los bivalvos.

La principal función de las mitocondrias en la célula es generar energía que será utilizada en múltiples procesos biológicos, como pueden ser en los procesos de contracción muscular, conducción de impulso nervioso, síntesis de biomoléculas, muerte celular programada o inmunidad innata. El número de mitocondrias presentes en las células de los diferentes tejidos cambiará según los requerimientos energéticos de los mismos.

Los mecanismos de reparación del ADN mitocondrial no son tan efectivos como los nucleares, por ello la aparición de mutaciones mitocondriales son más frecuentes, porque no hay un sistema de reparación tan complejo como ocurre en el núcleo. Se han descrito diferentes enfermedades mitocondriales, bien asociadas a desórdenes genéticos del ADN mitocondrial (epilepsia mioclónica con fibras rojas rasgadas [MERRF]; encefalopatía mitocondrial, acidosis láctica y episodios “stroke-like” [MELAS], debilidad muscular neurogénica, ataxia y retinitis pigmentosa [NARP]; síndrome de Keans-Sayre; síndrome de Pearson; enfermedad de Addison, etc.)  o bien desórdenes genéticos del ADN nuclear que conlleva indirectamente a desórdenes funcionales mitocondriales, generando enfermedades neurodegenerativas, desórdenes de envejecimiento prematuro o enfermedades inmunes (enfermedad de Charcot-Marie-Tooth, atrofia óptica dominante, esclerosis lateral amiotrófica, la paraplejía espástica hereditaria, síndrome de Troyer, la enfermedad de Creutzfeldt-Jakob, ataxia cerebelosa dominante autosómica-sordera y narcolepsia y neuropatía sensorial hereditaria con demencia y pérdida auditiva, la enfermedad de Huntington, etc.).

Esquema de los genes del ADN mitocondrial humano (en verde) con la relación de las mutaciones más frecuentes (en negro) de diferentes enfermedades mitocondriales (rojo).

Esquema de los genes del ADN mitocondrial humano (en verde) con la relación de las mutaciones más frecuentes (en negro) de diferentes enfermedades mitocondriales (rojo).

En los últimos años se han hecho grandes esfuerzos en investigación en el estudio de los genomas celulares, descubriéndose la interacción existente entre el genoma nuclear y mitocondrial. Secciones del genoma mitocondrial se pueden incorporar al nuclear, las consecuencias de esas inserciones son todavía desconocidas. Por otro lado, se están realizando nuevos enfoques terapéuticos a las enfermedades mitocondriales actuando sobre las proteínas mutadas o incluso con trasplantes de mitocondrias maternas.


¡Aviso! Hidden Nature no se hace responsable de la precisión de las noticias publicadas realizadas por colaboradores o instituciones, ni de ninguno de los usos que se le dé a esta información.

Autor Seila Díaz

Doctora en Biología por la Universidad de Santiago de Compostela. Actualmente vinculada al CESAM y al Departamento de Biología de la Universidad de Aveiro.


Los artículos de la revista Hidden Nature en formato digital, cuentan con el ISSN 2531-0178. Si quieres participar con tus artículos de divulgación científica en nuestra revista, escríbenos a revista@hidden-nature.com

Hidden Nature
Resumen de políticas de privacidad

Este sitio web utiliza cookies para mejorar su experiencia mientras navega por Hidden Nature. Las cookies necesarias para el correcto funcionamiento del sitio se almacenan en su navegador, ya que son esenciales para el funcionamiento de las funciones básicas de nuestra web. Aunque también utilizamos cookies de terceros que nos ayudan a analizar y comprender cómo utiliza este sitio web. Estas cookies se almacenarán en su navegador solo con su consentimiento. También tiene la opción de optar por no aceptar estas cookies. Sin embargo, la exclusión de algunas de estas cookies puede afectar a su experiencia de navegación por nuestra web.

A continuación mostramos la lista de cookies necesarias y no necesarias.

COOKIE TIPO DURACIÓN
_cookie_law_info-* persistent 1year
_cookie_law_info* persistent 1year
_cookie_notice_acepted, _viewed_cookie_policy persistent 1year
_unam, _sharethis_cookie_test_ third party 1month
_wordpress*, _wp_* session 1month
Google analytics third party 1year
wfwaf-authcookie-(hash) persistent 1month
wordpress_test_cookie session 1year